烂牙“元凶”是干燥综合征吗干燥综合征有哪些症状(干燥综合征导致牙齿坏了怎么办)

烂牙“元凶”是干燥综合征吗干燥综合征有哪些症状,引起蛀牙的原因有很多,但并非所有原因都是由干燥综合症引起的。干燥综合征患者因吃甜酸食物而出现口干、内分泌降低、牙痛等严重症状。这种现象会持续很长时间。如果不接受正规系统的治疗,就会出现牙根发黑、剥落等状况。烂牙主要是由于不良的口腔卫生习惯和日常饮食不良造成的。

干燥综合征导致牙齿坏了怎么办

1. 干燥综合征有哪些症状?

干燥综合征是一种外分泌腺的慢性炎症。目前我国患病率为0.3%0.7%,发病年龄多在4050岁之间。

1、口干症:唾液腺疾病导致唾液粘蛋白缺乏,导致口干、口腔粘膜发粘。日常言语需要经常喝水,固体食物需要用水送服。

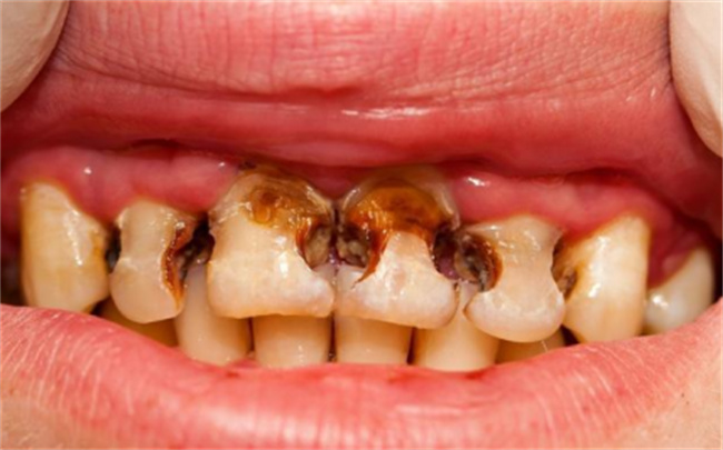
2、龋齿猖獗的主要表现:牙齿逐渐变黑,然后小片脱落,只剩下残根。它还伴有腮腺炎,伴有舌头疼痛、干燥和破裂,导致溃疡感染。

干燥综合征导致牙齿坏了怎么办

3、干燥性角结膜炎:泪腺分泌的粘蛋白减少,导致眼睛干涩、经常有异物感、少泪甚至无泪。眼睑边缘反复出现化脓感染、角膜炎、结膜炎等。

4.其他:部分患者除口干、眼干外,还可出现乏力、低热、过敏性紫癜样皮疹;大多数患者会出现呼吸道症状、干咳,严重时还会出现呼吸急促。

干燥综合征导致牙齿坏了怎么办

2.干燥综合征的治疗方法

1. 干燥综合征无法根除。目前只能采取医疗措施来缓解。可以保持口腔清洁,饭后漱口,以减少口腔和龋齿感染的可能性。

2.结膜炎患者可以使用人工泪液来缓解干眼症状,防止角膜损伤。

3.可使用非甾体类抗炎药和羟氯喹缓解肌肉和关节疼痛。

4、其他严重病情的治疗:对于有神经系统疾病、间质性肺病变、血细胞(血小板)低等的患者,可以使用肾上腺皮质激素,对于病情进展较快的患者,可以联合使用免疫抑制剂。

烂牙“元凶”是干燥综合征吗干燥综合征有哪些症状,以上就是本文为您收集整理的烂牙“元凶”是干燥综合征吗干燥综合征有哪些症状最新内容,希望能帮到您!更多相关内容欢迎关注。

免责声明:本站所有文章内容,图片,视频等均是来源于用户投稿和互联网及文摘转载整编而成,不代表本站观点,不承担相关法律责任。其著作权各归其原作者或其出版社所有。如发现本站有涉嫌抄袭侵权/违法违规的内容,侵犯到您的权益,请在线联系站长,一经查实,本站将立刻删除。

本文来自网络,若有侵权,请联系删除,如若转载,请注明出处:https://www.freetrip88.com/baike/430040.html

      
上一篇 2024-07-25
相关推荐